Skip to main content
Aller à la page d’accueil de la Commission européenne (s’ouvre dans une nouvelle fenêtre)
français français
CORDIS - Résultats de la recherche de l’UE
CORDIS
Contenu archivé le 2024-05-30
MEDICAL IMAGE ANALYSIS FOR CANCER TREATMENT MONITORING AND TUMOR ATLAS FORMATION

Article Category

Article available in the following languages:

Améliorer l'analyse des images IRM

Des analyses fiables, précises et reproductibles d'images médicales constituent toujours un défi pour le traitement des maladies. Une initiative de recherche européenne a permis de mettre au point des techniques informatiques robustes et efficaces pour l'interprétation, la modélisation et la visualisation des données d'imagerie.

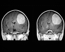
L'imagerie médicale est un outil essentiel dans les environnements cliniques, en particulier la mise au point d'outils d'imagerie quantitatifs dans le cadre des traitements du cancer et de la mesure de la réponse tumorale après le traitement. Le projet MICAT («Medical image analysis for cancer treatment monitoring and tumor atlas formation») a travaillé sur la mise au point de nouvelles méthodes de calcul médical et sur un cadre pour l'analyse des images médicales permettant d'assurer une surveillance pendant le traitement du cancer. Le projet MICAT était axé en particulier sur l'évaluation de la réponse tumorale et sur l'élaboration d'un nouvel atlas probabiliste pour les tumeurs cérébrales. La segmentation des tumeurs à partir de données d'imagerie est difficile en raison de l'aspect très varié du tissu tumoral selon les patients et, dans certains cas, par rapport à des tissus normaux. L'équipe du projet MICAT a mis au point une méthode de segmentation basée sur l'algorithme des automates cellulaires. Les études de validation ont permis de démontrer que l'algorithme final surpassait les algorithmes «graph cut» et «grow cut», avec une sensibilité plus faible à l'initialisation et au type de tumeur. Les applications d'enregistrement des images permettent de combiner des images d'un même sujet à partir de différentes modalités et d'assurer le guidage par images lors des interventions. Les chercheurs du projet MICAT ont mis au point une nouvelle méthode d'enregistrement rigide fondée sur des points de repère anatomiques dans le cerveau afin de comparer les images de référence et de suivi de la tumeur cérébrale d'un patient. La nouvelle technique met en œuvre des images par résonance magnétique à pondération T1 avec produit de contraste. Les scans à pondération T1 permettent de représenter les différences de temps de relaxation spin-milieu du tissu. Les nouveaux protocoles permettent d'améliorer la précision et la fiabilité des mesures de l'évolution du volume et du diamètre de la tumeur. En outre, les membres de l'équipe du projet MICAT étudient de nouveaux critères locaux à l'aide du tenseur des déformations de Lagrange. À ce jour, sept articles détaillant les réalisations du projet MICAT ont été publiés. Les outils logiciels seront mis à la disposition des cliniques, ce qui permettra d'accroître l'efficacité de la radiochirurgie des tumeurs et l'analyse de la réponse tumorale cérébrale pour le suivi après traitement.

Découvrir d’autres articles du même domaine d’application

Mon livret 0 0