Skip to main content
Ir a la página de inicio de la Comisión Europea (se abrirá en una nueva ventana)
español español
CORDIS - Resultados de investigaciones de la UE
CORDIS

Innovative biocompatible game changing material for medical implants in trauma

Periodic Reporting for period 3 - MP-ORIF (Innovative biocompatible game changing material for medical implants in trauma)

Período documentado: 2019-09-01 hasta 2021-02-28

MP-ORIF is a game changing open reduction internal fixation implant, made of MP-1 polyimide, aimed to replace currently trauma orthopedic implants. MMA developed 4 trauma implants: proximal nail, plate, distal radius nail and screws all made of MP-1. Orthopedic fractures are a common daily acute health issue, where distal radius is the most frequent case, expected to increase in the future due to aging population, more active lifestyle, road and sport injuries. Today, fractured bones are treated with fixation implants made of metal. Wear debris of metal cause allergy, inflammation and implant failure. Metal implants cause bone breakage, CT and MRI dispersion, limited location and angle of insertion due to pre-drilled holes, sensitivity to weather changes, extended surgery time and long cuts (ugly scars). MP-ORIF solves all these issues and enables minimal invasive surgery. Impact includes shorter surgery time, less risk, 50 % lower cost for the hospital and healthcare providers, and Better reputation for the doctors. Shorter recovery and improved patient quality of life is achieved due to eliminating pain caused by weather changes, negligible scarring and no need to remove the implant after healing. The trauma surgery is simpler, so developing economies may gain access to high quality trauma care otherwise impossible. The MP-ORIF device was proved to be durable and biocompatible thus causing no inflammation. MP-ORIF devices reduce the overall price of the ORIF procedure. The MP-ORIF devices give more freedom to the operating surgeon. CE and ISO mark certification will guarantee safety. MP-1 is produced by compression molding from powder enabling cheaper mass production of near-net shape products. MMA Protected the IP rights and intends to sign cooperation agreements with orthopedic companies, market and commercial launch.
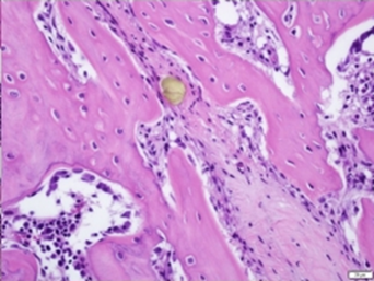
The work included: Wear Debris compatibility in animals done in UNSW Australia. Results showed that Healing was progressing in a normal manner. No effect of MP-1 particles on the healing procedure or time. Mechanical Testing: Four point bending static test and Dynamic fatigue test of MP-1 bone plates. The static and the dynamic results of the MP-1 bone plates were within the requirement of the medical device. Samples endured over 1 million fatigue cycles as required. Pull-out test of screws from MP-1 block were either deformed or broke when pulled out of the MP-1 block dew to track welding. Blood coagulation test: MP-1 samples were put in direct physical contact with the blood / plasma of humans. Thrombogenicity time of plasma with or without MP-1™ samples was measured. Results showed that the MP-1 does not cause coagulation or alteration of the plasma compared to control, proving that MP-1™ delays coagulation. Biofilm testing: Implanted joint infection caused by biofilm is one of the most feared complications of arthroplasty surgery. In this test we compared the growth of biofilm on three materials: Polyimide MP-1, X-UHMWPE, and Ti4-6. The results showed that MP-1 resists better biofilm growth, thus, no inflammation is expected on MP-1 implant surfaces. Nail and screw production: from compression molded near-net shape bulks by CNC machining. All products were measured, and QA tested. Press and Mold: were built by "Proment". The press includes 2 static plates and 3 moving plates and electrical process control panel. The mold was built to manufacture a near-net-shape product that includes both a nail and a screw in a rectangular shape. The molded parts were perfect. The press and mold passed the regulation of IQ / OQ and PQ. Additional trauma implants (distal radius) were produced by cold molding of powder in a special new mold. Mechanical Testing – molded nails: Four point bending static test of MP-1 molded bone nails. The results of the molded nails were compared to machined nails from blocks and were identical. We now have a working process for hot compression molding of MP-1 powder. This achievement will lower significantly the price of production. . Animal Trial 3 sheep – 2 sheep had nail implanted in their bone and screws drilled in the nail. After 6 weeks, they were sacrificed and histology was performed on the implanted nail. Results showed excellent healing and growth of new tissue. Another sheep was implanted with a plate. Human corpses with broken fracture were implanted with distal radius trauma device to finalize the nail length and the screwdrivers needed for the surgery. Helsinki for humans in Israel – is prepared with the aid of CRO (GSap). The cases will be tested in Israel after Helsinki approval. Follow-up of 6 weeks. CRA for Europe clinical trial and follow up was located. 2 centers in EU each of them for 10 cases were found. These trials in Europe could not be achieved due to the corona virus that prevented us from flying and getting permission to operate in EU hospitals. All cases will be compared to Ti nail existing operations. MMA received EN ISO 13485:2016 till 2023. Preparation to obtain CE mark - Several regulation files were written: Intended use document, Failure Mode and Effects Analysis, Risk analysis, IFU, IB all were added to the QA folder. An updated Project plan was summarized in MS Project file. Patent: covering trauma nails, plates and screws was approved and registered in USA and applied in EU. . Exploitation and dissemination: Website: www.mma-tech.com is constantly updated. New LOGO and new brochure were created. Conferences: MMATECH attended 9 conferences presenting posters and lectures, a workshop and 3 exhibitions for which we prepared trauma and other MP-1 devices. Due to Corona virus, 22 webinars and conferences were virtually attended. Social sites: Facebook, LinkedIn, ResearchGate. 4 Short Films 2 films on MP1 nail advantages and MP-1 uses and 2 films on the surgery were created. Coaching: Heiko Vitorias. 2 articles were written and published in a peer reviewed Journal on pre-clinical testing and wear debris testing. An article on future polymeric materials in orthopedics was published in R&D Benzone Journal, mentioning MP-1 and devices. The Dissemination, which included conferences, posters lectures, exhibitions and work-shop, actually put MMATECH on the world's map. A few companies showed interest in cooperation and investment with one of them we are already in a stage of due diligence.
1-Progress : The 3rd period ended the project we needed to update the plan because of animal trials and the Corona virus pandemic. The human surgeries in Europe were delayed. We filed amendments and extended the project by 18 months. A new Gantt and extended MS project was prepared. We nominated a CRA, in order to carry out the clinical trials abroad (WP 4). These extensions implies the shifting of the end date of the work packages 4, 5, 6, 7 and 8. 2-Socio-economic impact: 50 % lower overall cost for the hospital and healthcare providers. Trauma surgeries can be also offered by small and medium hospitals and private clinics that cannot serve congestions in large hospitals. Shorter post-operation recovery time, patient quality of life will be significantly improved. Lower the public healthcare costs. wider societal implications: developing economies and rural locations can gain access to high quality trauma care (for the most frequent injury), otherwise impossible. Nigeria showed an interest in our MP-1 implants. We visited the hospital and showed the recent devices.
MP-ORIF Proximal Humerus nail and Near-Net shape Product
point bending of nail
Drilling K wires in a distal radius MP-1 implant
Trauma plate of MP-1 on fracture bone
X-ray of nail and near-net shape
Torsion test of nail
Laser printing on nail
Wear Debris compatibility
Trauma nail and screw
Mi folleto 0 0