Colliri di PHMB per trattare le infezioni oculari da Acanthamoeba
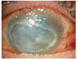
L’Acanthamoeba keratitis (AK) è una malattia infettiva parassitaria rara dell’occhio, che colpisce principalmente le persone che indossano lenti a contatto monouso. Se non curata tempestivamente, può determinare pregiudizio alla vista e perfino la cecità. Di conseguenza, è di primaria importanza sviluppare e stabilire un trattamento efficace per l’AK. Su tali premesse, è stato avviato il progetto ODAK(si apre in una nuova finestra) (“Orphan drug for Acanthamoeba keratitis”), finanziato dall’UE, nell’intento di testare l’efficacia del farmaco poliesanide (PHMB). Il PHMB ha ricevuto la designazione di farmaco orfano nell’UE per il trattamento dell’AK. Nel corso di ODAK, è stato sottoposto alla valutazione non clinica e alla valutazione clinica di fase I/fase III. Oltre alle prove relative a qualità, sicurezza ed efficacia del PHMB, i partner ODAK hanno anche formulato raccomandazioni per la pratica clinica e la gestione dell’AK. La valutazione retrospettiva degli esiti clinici di pazienti affetti da AK trattati con farmaci privi di autorizzazione ha indicato che il 96 % dei pazienti utilizzava lenti a contatto e che il PHMB è stato il farmaco utilizzato più spesso. L’efficacia del PHMB lo ha imposto come promettente candidato per ottenere un’autorizzazione ufficiale per il trattamento dell’AK. I partner ODAK si sono pertanto proposti di ottimizzare la formulazione del principio attivo del PHMB. Finora sono state testate varie formulazioni in relazione all’efficacia e alla tolleranza oculare in modelli preclinici. Allo stesso tempo, il consorzio è impegnato nella divulgazione delle attività, per elevare il livello di consapevolezza riguardo alla malattia, alla sua diagnosi e al trattamento. Il progetto è stato promosso anche sui social media, con l’offerta di informazioni sulle sue attività e i progressi. Migliorando l’attuale trattamento empirico contro l’AK con il PHMB, ODAK spera di aumentare la biodisponibilità del farmaco in corrispondenza della superficie oculare e, di conseguenza, il suo indice terapeutico. Si prevede che la formula di collirio ipotizzata riduca anche al minimo gli effetti collaterali e la necessità di ricoveri e interventi chirurgici.
 
           
         
             
        
                     
         
         
        