Skip to main content
Go to the home page of the European Commission (opens in new window)
English English
CORDIS - EU research results
CORDIS
Content archived on 2024-06-18
Host and microbial molecular dissection of pathogenesis and immunity in tuberculosis

Article Category

Article available in the following languages:

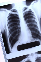
What are the unknowns in latent TB infection?

Tuberculosis rates are on the rise worldwide, with 8.8 million new cases and 2 million deaths being recorded each year. Better understanding the interactions between host and mycobacteria is vital for designing vaccination or immunotherapies.

Although some 90\;% of individuals infected with tuberculosis (TB) never develop clinical disease, the possible progression from infection to disease is not standard. Of those who are infected and do develop overt clinical disease, about 50\;% are diagnosed as fast progressors, being diagnosed with TB within 2 years of infection. The other half develop clinical disease later; such cases are described as 'reactivation' or post-primary TB. Immunisation with the Mycobacterium bovis–derived Bacillus Calmette-Guerin (BCG) vaccine can provide protection against childhood TB, but is relatively useless in protecting older children and adults from contracting the disease. Thus, infected individuals carry with them a life-long risk of reactivation, which is intensified when the immune system is weakened, as in the case of HIV infection. The 'Host and microbial molecular dissection of pathogenesis and immunity in tuberculosis' (HOMITB) project is investigating the interactions between mycobacteria and host cells. Since such interactions can lead to infection, examining their regulation by cellular immune responses is also a part of the study. Both targeted and genome-wide explorations are being employed to identify genes involved in the immunological control or development of primary Mycobacterium tuberculosis infection in children and secondary pulmonary TB in adults. HOMITB is also using various mouse models and human patients to investigate the role that key intracellular signalling molecules play in the immune response and outcomes of mycobacterial infection.

Discover other articles in the same domain of application

My booklet 0 0