Skip to main content
Weiter zur Homepage der Europäischen Kommission (öffnet in neuem Fenster)
Deutsch Deutsch
CORDIS - Forschungsergebnisse der EU
CORDIS

Clinical validation and commercialization of innovative immunostimulating Interstitial Laser Thermotherapy

Periodic Reporting for period 2 - INTHER (Clinical validation and commercialization of innovative immunostimulating Interstitial Laser Thermotherapy)

Berichtszeitraum: 2017-08-01 bis 2018-11-30

The INTHER project addresses the problem of insufficient efficacy of drug-based immunotherapies available today, estimated to approx. 20%. Even though anti-cancer therapies based on activation of the immune system have grown in significance and popularity over the last years, their response rates are still too low to make a real difference in decreasing cancer-related suffering, increasing life expectancy and survival rates for the patients. And we are talking about vast numbers of patients. The incidence of cancer worldwide is on a constant rise. According to WHO, by 2020 the annual number of new cancer onset cases may reach 15 million, compared to 14 in 2012. By 2030 this number may exceed 21 million.
Among major cancer types, two are especially dangerous and disturbing: breast cancer and pancreatic cancer. The former is the most common cancer in women worldwide, with nearly 1,7 million new cases diagnosed in 2012. This represents about 12% of all new cancer cases and 25% of all cancers in women. The latter is the fourth-leading cause of cancer-related death in developed countries and has the highest mortality rate of all major cancer types with a 5-year survivability of only 3–4%. The additional danger behind all cancer cases, even if an initial tumour has been treated successfully, is the possibility of future metastasis and recurrence. Cancer cells may break away from a tumour and can travel to other areas of the body through the bloodstream or the lymph system.

The goal of the INTHER project is to bring the ground-breaking immunostimulating Interstitial Laser Thermotherapy (imILTCLS) to the market and clinical practice. This is a world’s first device-based and minimally invasive cancer immunotherapy method designed to achieve local tumour destruction and stimulate long-lasting, vaccination-like, systemic immunity against the treated form of cancer.

The studies performed to date have confirmed the therapeutic capability of the new method. In the project, the method will be further validated for the two chosen solid tumour types: pancreatic cancer and breast cancer. This will enable CLS to shorten the time to full commercialisation, obtain the clinical acceptance and fully exploit the commercial potential of the new treatment method. The clinical uptake of imILTCLS in Europe will lead to a reduction of costs associated with the treatment of solid tumours, especially surgeries, and reduction of costs related to the activation of immunotherapies.
The project has been designed to allow CLS to validate safety, feasibility, efficacy and clinical outcome of imILT treatment in breast cancer and pancreatic cancer.
The investigative core of the project consisted of three clinical validation studies:
o Study conducted in cooperation with Institut J. Paoli et L. Calmettes, Marseille, France
o Study conducted with Portuguese Oncology Institute of Porto, Porto, Portugal
o Study conducted with Nottingham Breast Institute, Nottingham University Hospital, Nottingham, the UK

The data from the project will play an important role in the company´s ability to bring the system and method to the market.
At the Institut Paoli-Calmettes in Marseille, France, five patients with pancreatic cancer stage III were treated in accordance with the protocol. The promising results for survival that CLS has announced in March 2018. Portuguese Institute of Oncology in Porto, Portugal, treated four patients with pancreatic cancer stage III and IV. In addition to treatment of metastases in the liver, patients with locally advanced pancreatic cancer have also been treated during open surgery. The treatment was well tolerated by the patients, whether it was metastasis or locally advanced cancer being treated. No serious side effects occurred due to treatment. Five of the patients receiving imILT treatment in the studies mentioned above have a median survival of 17 months, compared with published results for locally advanced, inoperable pancreatic cancer, which shows a median survival of significantly less than one year – in some reports 9 months. It is very positive that the treatments of locally advanced pancreatic cancer have worked so well. Pancreatic cancer is notoriously difficult to treat, much because of the pancreatic sensitive position adjacent to large blood vessels and the duodenum. This means that every type of treatment risks damaging these vital structures. With the survival data we have today, imILT treatment seems to be a way forward which is very positive. In the study of imILT treatment of breast cancer, conducted at Nottingham University Hospital in Nottingham, England, two patients out of five were treated. Here, too, treatment ended well and without serious side effects. Both patients lived during the follow-up period, which was two and ten months after treatment, respectively. For one patient, the treatment was very successful, and the tumour disappeared. For the second patient the disease was stable after treatment.
During the project, CLS has also actively performed dissemination and communication activities. In order to boost awareness of the project and our treatment among KOLs, we have participated in medical conferences and published one scientific article. The company has also published information about the project on its website and information about the clinical trials on the https://clinicaltrials.gov(öffnet in neuem Fenster) website.
The INTHER project delivered important steps on the way to bring the groundbreaking immunostimulating Interstitial Laser Thermotherapy (imILTCLS) to the market and clinical practice. This minimally invasive therapy is designed to achieve local tumour destruction and stimulate specific antitumour immunity in a patient’s body. In recent years, anti-cancer therapies based on activation of the immune system have grown in significance and popularity. This approach is especially viable for patients who previously had very few treatment options. However, only approx. 20 % of all patients respond to drug-based immunotherapies of today. The key need of medical oncologists is to increase those response rates and thus decrease cancer-related suffering, increase life expectancy and survival rates for the patients. imILTCLS destroys the tumour locally and induces long-lasting, vaccination-like, systemic immunity against the treated form of cancer. As the world’s first device-based laser immunotherapy, imILTCLS will curve its own market niche on the fast growing Cancer Immunotherapy Market and therefore have a significant disruptive effect on this market.
In the project, the method has been further validated for pancreatic cancer and breast cancer. The clinical uptake of imILTCLS in Europe will lead to reduction of costs associated with the treatment of solid tumours, especially surgeries, and reduction of costs related to the activation of immunotherapies. CLS’ strategy is based on intensive efforts towards validating imILTCLS and bringing it to the market. The project has been a key step towards realizing this business strategy.
An overview of the proposed mechanism of action of imILT
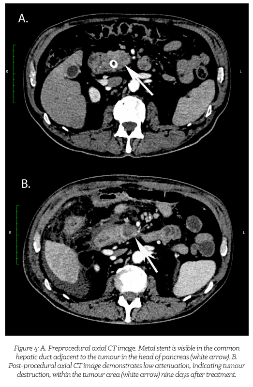
A CT image showing tumour destruction after performing imILT procedure
Mein Booklet 0 0