Skip to main content
Ir a la página de inicio de la Comisión Europea (se abrirá en una nueva ventana)
español español
CORDIS - Resultados de investigaciones de la UE
CORDIS
Iron as a driver of fibrosis and regeneration

Article Category

Article available in the following languages:

El hierro es uno de los principales responsables de la fibrosis senil

Existe un vínculo entre el envejecimiento y la hemocromatosis. El equipo del proyecto financiado con fondos europeos IRONAGE ha llevado a cabo un estudio para dilucidar la repercusión de la acumulación de hierro a nivel celular y tisular.

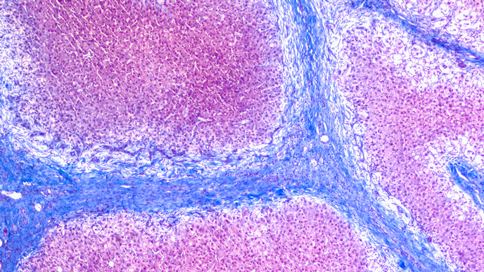
No cabe duda de que el envejecimiento progresivo de la población europea ha ido acompañado de un aumento de la incidencia de enfermedades relacionadas con la edad. Los trastornos fibróticos(se abrirá en una nueva ventana), como la cirrosis hepática y el infarto de miocardio, son algunas de las causas más comunes del deterioro de la salud relacionado con el envejecimiento, responsables de aproximadamente el 30 % de las muertes en el mundo occidental.

La acumulación de hierro, o hemocromatosis, está relacionada con la fibrosis en ratones y humanos.

«Nuestro objetivo principal era comprender qué sucede a lo largo del envejecimiento que desencadena el aumento exponencial de la incidencia de trastornos fibróticos», afirma Mate Maus, becario de investigación. A lo que añade: «Hemos comprobado que las células y los tejidos seniles presentan a menudo una acumulación anormal de hierro, y planteamos la hipótesis de que este proceso constituye un vínculo causal entre el envejecimiento y la fibrosis». Maus ha trabajado durante unos cinco años en la cuestión de cómo los canales iónicos controlan la inflamación, la inmunidad, el metabolismo y el cáncer. Bajo los auspicios del proyecto europeo IRONAGE, ha combinado su experiencia con estudios sobre la regeneración y el envejecimiento en el laboratorio de Manuel Serrano(se abrirá en una nueva ventana), del Instituto de Investigación Biomédica (IRB, por sus siglas en inglés) de Barcelona (España). Maus, que recibió financiación gracias a las Acciones Marie Skłodowska-Curie, investigó cómo la secreción continua de hierro libre en órganos y tejidos dañados, sin eliminación, mantiene la inflamación crónica e impide de la regeneración. Los investigadores de IRONAGE utilizaron modelos murinos para trastornos fibróticos y biopsias humanas para estudiar la fibrosis en el corazón, los pulmones y los riñones. Los hallazgos revelaron que la acumulación senil de hierro está relacionada con los trastornos fibróticos. Los datos sugieren que la hemocromatosis es un factor desencadenante directo de la inflamación, la infiltración inmunitaria y la deposición de colágeno, que constituyen las características distintivas de la fibrosis. «Nuestros hallazgos indican que prevenir la acumulación de hierro puede constituir un método robusto para el tratamiento de los trastornos fibróticos que empeoran progresivamente», recalca Maus.

Difusión a lo largo y ancho y perspectivas futuras

Los resultados de investigación de IRONAGE se presentaron en la charla titulada «Vascular damage-associated iron deposition causes senescence and fibrosis» («La acumulación de hierro relacionada con el daño vascular provoca senescencia y fibrosis») en varios congresos y reuniones a lo largo de 2019. Entre las conferencias que acogieron las ponencias sobre la investigación actual sobre el hierro y la fibrosis figuraban el 8. Congreso de la International BioIron Society(se abrirá en una nueva ventana), celebrado en Heidelberg (Alemania), la Conferencia Barcelona Biomed(se abrirá en una nueva ventana) titulada «Inmunoterapia más allá del cáncer. Una cura para las enfermedades relacionadas con el envejecimiento», celebrada en España, y el 8. Congreso sobre Reparación y Regeneración Tisular(se abrirá en una nueva ventana), celebrado en Nuevo Londres (los Estados Unidos). Actualmente se está preparando un artículo científico sobre la investigación. «Ahora estamos realizando algunos experimentos finales, que esperemos nos ofrezcan una idea de esta nueva biología. Huelga decir que mi objetivo soñado es convertir estos hallazgos en tratamientos y mejores diagnósticos para los trastornos fibróticos y, quizá, para otras enfermedades relacionadas con el envejecimiento», comenta Maus sobre sus objetivos futuros. Para lograrlo, quiere crear un equipo con objetivos comunes y obtener la financiación y el entorno que respalden dichos objetivos. Los resultados y las repercusiones de este proyecto fueron mucho más allá de lo que se esperaba originalmente. Maus concluye: «Creo que podríamos haber descubierto algo esencial que nos puede enseñar mucho sobre el envejecimiento celular y orgánico». Mientras trabajaba con IRONAGE, Maus fue padre y tuvo que compaginar su paternidad con la investigación, una tarea alegre pero nada fácil. Cuando su hijo sea mayor, puede que la terapia para las enfermedades relacionadas con la edad sean ya una realidad gracias al trabajo de IRONAGE.

Descubra otros artículos del mismo campo de aplicación

Mi folleto 0 0