Skip to main content
Przejdź do strony domowej Komisji Europejskiej (odnośnik otworzy się w nowym oknie)
polski polski
CORDIS - Wyniki badań wspieranych przez UE
CORDIS

How cellular suicide programmes control phase transitions in fatty liver disease and liver cancer

Periodic Reporting for period 4 - PhaseControl (How cellular suicide programmes control phase transitions in fatty liver disease and liver cancer)

Okres sprawozdawczy: 2023-05-01 do 2025-04-30

This project investigated the molecular mechanisms that regulate the development of liver cancer based on fatty liver disease. Fatty liver disease is the most common form of liver diseases in western industrialized countries. It can be caused, for example, by an unhealthy lifestyle and obesity, but also genetic factors and environmental influences may play a role. While many people with fatty liver disease never experience serious problems, some go on to develop liver cancer, a life-threatening disease and one of the leading causes of cancer-related deaths worldwide.

The overall objective of the project was to better understand the molecular mechanisms leading to liver cancer development arising from fatty liver disease. Thereby, new molecular biomarkers should be identified that allow an early detection of those patients suffering from fatty liver disease who are at increased risk for liver cancer development.

Altogether, this project has made substantial contributions to advancing our understanding of the cellular and molecular mechanisms that link chronic inflammation, programmed cell death, and liver cancer development in the context of fatty liver disease. Our findings lay the groundwork for future therapies aimed at stopping liver disease before it progresses to cancer.
In this research project, we set out to uncover the biological processes that drive the development of liver cancer from fatty liver disease. For this transition, cell death is of major importance: It could be shown that liver cells can die in a "controlled" manner due to various stress factors (e.g. excessive fat storage within the liver cells). Such cellular "suicide programs" are present in all cells and can cause different reactions in the surrounding liver tissue/ cells. We focused on a specific type of cell death called necroptosis.

Using genetic mouse models and newly developed real-time imaging techniques, we were able to observe how necroptosis unfolds in a living organism. We discovered that there is a sublethal or "zombie" state of necroptosis, where cells are damaged but do not fully die. This partial cell death leads to the release of inflammatory signals that can promote liver inflammation and cancer. Whether this process is harmful or protective depends on other molecular pathways activated at the same time — especially a key inflammation regulator known as NF-kappaB. This means necroptosis can either worsen disease or help fight it, depending on the context.

From these insights, we developed a gene signature that reliably predicts patient outcomes with liver cancer. This signature has been validated in multiple patient groups and could serve as a prognostic biomarker in clinical practice in order to help to identify individuals who need more intensive monitoring or targeted treatment.

We also studied a protein called MLKL, a key necroptosis mediator. Interestingly, we found that MLKL may play a role in disease even when it’s not causing cell death — especially in fat tissue, which is closely connected to liver health. This provides a new perspective on how metabolic inflammation in fatty liver disease might be modulated independently of cell death mechanisms.

Finally, we applied artificial intelligence (AI) to analyze images of routinely obtained histological tissue sections to detect important genetic changes linked to cancer. These AI-based tools are now being adapted to assess disease risk in patients with fatty liver disease, opening up new possibilities for early diagnosis and personalized medicine.

Our research findings on the transition from fatty liver disease to liver cancer have been shared with the scientific community and the general publicity in various ways. We published the results in scientific journals and presented them at scientific symposia and invited university lectures, and we also made them accessible on our own homepage.
The direct detection of sublethal necroptosis in the liver by non-invasive 2-photon imaging - an intermediate state previously undetectable by conventional molecular biology methods - represents a significant progress beyond the state of the art, as it provides a mechanistic explanation for how necroptosis contributes to chronic inflammation and tumor progression in a non-lethal but pathologically active form. The further development and translation of this imaging technique into patients would be a perfect target for future research projects.
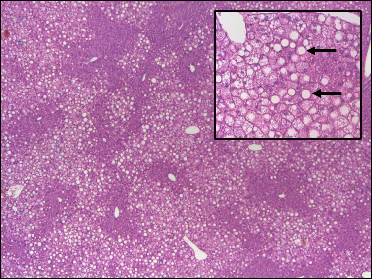
Histological staining of a fatty liver of a mouse. The black arrows: fat vacuoles.
Schematic representation of sublethal and lethal hepatocyte necroptosis.
Histological staining of a liver cancer in a mouse.
Moja broszura 0 0