Skip to main content
Przejdź do strony domowej Komisji Europejskiej (odnośnik otworzy się w nowym oknie)
polski polski
CORDIS - Wyniki badań wspieranych przez UE
CORDIS

Camouflaging electronics in the brain with immobilized liquid coatings

Periodic Reporting for period 1 - BRAIN CAMO (Camouflaging electronics in the brain with immobilized liquid coatings)

Okres sprawozdawczy: 2018-11-01 do 2020-10-31

In the UK alone, those suffering from brain disorders is approximately 45 million and associated healthcare costs exceed 130 billion euros per year. Neural electronics for recording and stimulating brain activity have become invaluable tools to study and treat disorders such as epilepsy, depression, and Parkinson’s. Currently used neural probes often fail in chronic evaluations (>1 year); the stiffness and chemistry of probes induce inflammation, neuronal death, and fibrous capsule formation. In this project, the approach was to use water-immiscible liquids anchored to the surface by a gel to shield neural probes from surrounding tissue. The proposed strategy of these immobilized liquid coatings is applicable to all implantable electronics, including those for other tissues and those based on various materials (silicon, metal, and organics). The objectives of this work were to study the biocompatibility of the material and to study the effects of these coatings on the trauma from insertion. It was concluded these immobilized liquid coatings are just as biocompatible as other materials traditionally used for fabricating neural probes. Furthermore, the immobilized liquid coatings reduce insertion trauma and may therefore be helpful to improve overall performance and longevity of neural probes. These findings may be impactful for a variety of implantable medical devices in which these coatings are applied to help improve patient outcomes post-surgery.
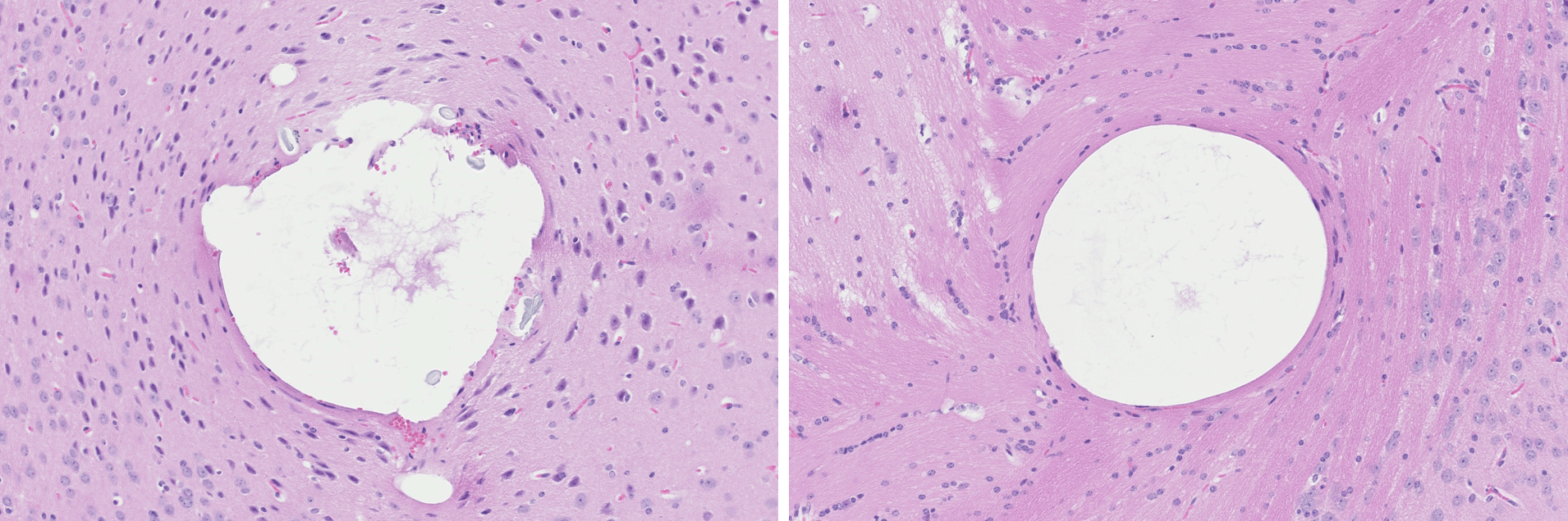
The stability of the material was studied in aqueous conditions. Mass over time and sliding angle measurements were measured over weeks and only very minor changes were detected. It was determined that these coatings were stable for at least month in a biological environment. Biofouling was compared between the coated material relative to the uncoated material (one that is commonly used in medical devices). The study was conducted in cell culture medium and it was found that there was not significant difference in the material groups. Methods were developed on how to apply these coatings to metals. The process included how to dip-coat the material uniformly onto metal microwires and how to obtain significant adhesion of the materials through silane modification in order so that coating did not delaminate from the wire. The coated probes were then characterized by scanning electron microscopy as well as electrochemical impedance spectroscopy to study the uniformity of the coating on the device. Electron microscopy revealed that the coating was uniform and impedance spectroscopy revealed that the material was a good insulator, fit for use of fabrication of neural probes. Insertion forces of the coated probes versus uncoated probes were studied by inserting them into agarose hydrogels, which have similar mechanical properties to brains. The coated material was found to reduce friction between device and tissue. The coated probes were then implanted into the brains of rodents and the brain tissue was analyzed for damage. New analysis was developed in order to quantify the difference. The coated probes were found to significantly decrease tissue tearing along the sides of the implantation. Finally, biocompatibility studies were conducted. Discs as well as implants of the coated material and uncoated material were implanted both subcutaneously and in brains of rodents. The tissue was then analyzed and immunofluorescently stained. Several markers were quantified to look at the foreign body response. The coated materials were not significantly different to the uncoated material. The work will be published in a peer-reviewed journal and has been presented at several international conferences.
The work carried out has an enormous health benefit to society in that it was discovered that the material studied can be applied to coatings on medical devices to reduce trauma associated with their implantation. Reduced trauma may thereby lead to enhanced patient outcomes (e.g. faster recovery) and reduced complications (e.g. infection, scarring) after surgery. Potential users of project results include fellow academic labs, clinical labs, and medical device companies.
insertion-trauma-reduced.png
Moja broszura 0 0