Skip to main content
Przejdź do strony domowej Komisji Europejskiej (odnośnik otworzy się w nowym oknie)
polski polski
CORDIS - Wyniki badań wspieranych przez UE
CORDIS
Detection of brain patterns for the characterisation of epileptic networks

Article Category

Article available in the following languages:

Nowe oprogramowanie wykrywa anormalne wzorce mózgowe u pacjentów z epilepsją

Padaczka lekooporna dotyka jednej czwartej pacjentów z epilepsją. Chirurgiczne usunięcie obszaru odpowiedzialnego za ataki padaczkowe jest wykonalne, lecz obszar ten musi być precyzyjne wskazany chirurgowi.

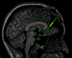
Badanie przedoperacyjne opiera się na identyfikacji ogniska padaczkowego (ang. epileptogenetic zone, EZ), czyli obszaru mózgu, który należy usunąć, aby u pacjenta nie występowały już napady. Do momentu badań przeprowadzonych w ramach projektu EPINET, istniały znaczące ograniczenia w identyfikacji funkcjonalnych markerów pozwalających na jednoznaczną identyfikację EZ. Naukowcy pracujący w projekcie EPINET opracowali półautomatyczną strategię analizy zapisów z elektroencefalografii śródczaszkowej (iEEG) oraz magnetoencefalografii (MEG) u pacjentów z epilepsją. Tym aspektem badań zajmowała się dr Lucia Quitadamo, doświadczona badaczka programu Marie Sklodowska-Curie, która przełożyła te wyniki na powszechnie dostępne oprogramowanie EPINETLAB. Na podstawie analizy wykrytych wahań pola o wysokiej częstotliwości (ang. high-frequency field oscillations, HFO) oraz ich kwantyfikacji w różnych rejonach mózgu, program ten potrafi określić występowanie obszaru związanego z atakami. Oprogramowanie to posiada pełną dokumentację i jest przyjazne użytkownikowi. W trakcie ataku padaczkowego oraz w stanie spoczynku analizuje ono elektromagnetyczny sygnał mózgu pod względem częstotliwości i charakterystyk czasoprzestrzennych. „Jako takie, oprogramowanie to może wspierać praktyków klinicznych w pracach przedoperacyjnych, kiedy to dokonują oni identyfikacji obszaru mózgu, który musi zostać usunięty u pacjentów dotkniętych padaczką niepodatną na leczenie lub lekooporną”, mówi koordynator projektu, prof. Stefano Seri z Uniwersytetu w Aston. Projektowanie oprogramowania – podejście dwukierunkowe Innym celem projektu była walidacja oprogramowania z użyciem danych z analiz inwazyjnych i nieinwazyjnych (odpowiednio: iEEG i MEG). Łączna analiza obu sygnałów umożliwiła solidną walidację algorytmów zaangażowanych w proces oceny. iEEG – metoda inwazyjna wymagana często do określenia źródła aktywności padaczkowej przed operacją – umożliwiła sprawdzenie zachowania mózgu przy zaburzeniach pola o wysokiej częstotliwości, poprzez wprowadzenie markera ogniska padaczkowego. „iEEG stosowane jest często, gdy nieinwazyjne metody diagnostyczne, takie jak EEG wykonywane przez skórę głowy, nie dają jasnych wyników odnośnie położenia ogniska padaczkowego”, wyjaśnia prof. Seri. Mając na względzie użytkowników niedoświadczonych, system EPINETLAB został całkowicie zintegrowany z platformą EEGLAB(odnośnik otworzy się w nowym oknie), która jest przez neuronaukowców powszechnie wykorzystywana w analizie zapisów elektromagnetycznych mózgu. Technicy nie muszą mieć zaawansowanej wiedzy o programowaniu i mogą w prosty sposób używać tego oprogramowania, na potrzeby korzystania z funkcjonalności platformy EEGLAB oraz bardziej specyficznych funkcji systemu EPINETLAB. Nieustanne zbieranie danych „Wyjściowo, baza składała się z danych iEEG 60 pacjentów, pobranych przez trzy różne europejskie centra”, nakreśla prof. Seri. Zebranie tych danych było efektem transnarodowej współpracy szpitali Niguarda i Bambino Gesu z Włoch oraz szpitala Women's and Children's Hospital z Birmingham w Zjednoczonym Królestwie. Co więcej, od 13 pacjentów pediatrycznych objętych opieką operacyjnego leczenia padaczki szpitala dziecięcego w Birmingham pobrane zostały dane z badania MEG w ramach oceny przedoperacyjnej na Uniwersytecie w Aston. Informacje te umożliwiły wdrożenie i ostateczną walidację systemu EPINETLAB w okresie trwania projektu. „Walidacja nadal trwa. Zbieramy duży zestaw danych z międzynarodowych centrów leczenia padaczki i dodajemy nowe funkcje do oprogramowania EPINETLAB, gdyż mamy świadomość, że użytkownicy ich potrzebują”, kontynuuje prof. Seri. Przyszłość systemu EPINETLAB Dzięki publikacji w International Journal of Neural Systems, wysoce cenionego czasopisma naukowego, oraz rozpowszechniania informacji podczas International Epilepsy Conference odbywającego się we wrześniu 2017 r. w Barcelonie, oprogramowanie EPINET zaistniało na arenie międzynarodowej. Prof. Seri wskazuje, że „badania w ramach projektu EPINET umożliwiły nawiązanie współpracy z instytucjami międzynarodowymi mającymi na celu wykorzystanie wypracowanego w toku projektu know-how oraz poszerzenie wiedzy o kwestiach związanych z epilepsją”. Współpraca z partnerem przemysłowym, firmą Micromed S.p.A. światowym liderem w produkcji systemów wykorzystywanych w neurofizjologii, przetarła szlaki dla poprawy współpracy środowiska naukowego z przemysłem. Wspólnie, partnerzy zbadali możliwość zintegrowania wdrożonych narzędzi do ich pakietów oprogramowania diagnostycznego. Współpraca ta pozwoli na umocnienie Europy jako lidera na tym polu, co jest dla UE celem strategicznym. Prof. Seri tak podsumowuje znaczenie badań przeprowadzonych w ramach projektu dla jakości życia pacjentów z epilepsją, która jest ściśle związana ze stopniem ograniczenia napadów padaczkowych po operacji: „EPINET dostarczył w tej dziedzinie badań nad fenotypem wolnym od napadów oraz nieocenione środki dla poprawy identyfikacji obszaru odpowiedzialnego za generowanie ich”.

Znajdź inne artykuły w tej samej dziedzinie zastosowania

Moja broszura 0 0